
銷售熱線:
全國統一電話:
聯系我們
郵箱留言
銷售熱線
Tel:0731-55881818
地址
湖南省長沙市望城區普瑞西路858號金榮中德企業公園C2棟602號
發布時間:2019-10-10 閱讀736次
CGF英文全稱為Concentrate Growth Factors,中文翻譯為“濃縮生長因子”,于2006年由Sacco首次開發并在臨床應用,是利用特制的變速離心機,依靠物理性加速度和減速度充分激活血小板中的α顆粒,產生富含更高濃度生長因子和CD34+細胞的自體血液濃縮制品,表現出更佳的組織再生能力。

CGF的優勢

手術前

提取CGF

植入骨粉骨膜

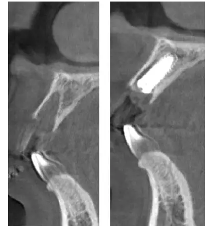
術前、術后CT

植入后縫合

術后三天
制備CGF方法

在口腔種植領域中,由于各種原因造成的種植牙局部牙槽突骨量不足或種植體周圍骨缺損的修復在種植外科的研究中已經取得了重大突破。新一代的血漿提取物--濃縮生長因子(CGF,Concentrate Growth Factors)能夠明顯縮短術區成骨的時間,提高成骨質量,促進成骨及組織的愈合;具體有:引導骨再生技術、聯合骨膜表面覆蓋加速軟組織愈合、用于上頜竇提升、拔牙后即刻種植、牙槽嵴位點保存、頜骨囊腫的治療、牙槽骨修整。

隨著現代科學技術的發展,CGF和PRF在口腔醫療行業中扮演著越來越重要的角色。由此可見,使用一款牙科專用離心機是十分有必要的。可成儀器:TD4M牙科專用離心機,相比與其他離心機來說,在口腔醫療行業它擁有更多的優勢,更加具有專業性。

TD4M內置專業程序組:將優化的程序固化在機器程序中,真正做到標準化操作,并支持多種自定義離心程序,滿足用戶的多元化需求。
技術參數:

轉子參數:

標準制作流程:

想要了解更多牙科專用離心機信息,歡迎聯系我們!
版權所有:湖南可成儀器設備有限公司(因為專業所以做的更好-因為用心所以走的更遠)
聯系地址:湖南省長沙市望城區普瑞西路858號金榮中德企業公園C2棟602號 聯系電話:0731 5588 1818
Copyright 2019Comporation,All Rights Reserved 湘ICP備16004042號 營業執照
